矯正治療
- 歯並び美しくしっかり噛める歯に
- 歯列不正は見た目のだけではなく、口腔内に悪影響を及ぼすケースも多く、歯列矯正は健康面からみても大切な治療となります。手軽なプチ矯正(部分矯正)から全顎矯正、小児矯正から成人矯正まで、専門医が患者さんに合った最適な矯正治療を行います。
- 主な症状
-
- 歯並びが悪い
- しっかり噛めない
- 発声や発音に影響する
- 虫歯になりやすい
部分矯正と全顎矯正
手軽で安価な部分矯正(プチ矯正)
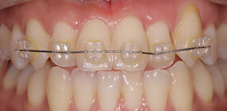
短期間で前歯の歯並びをキレイにするのがプチ矯正(部分矯正)です。上下の前歯のみの矯正になるので、短期間(4ヵ月~1年)で治療が終了し、治療費も安価になります。矯正装置は金属ブラケットではなく、セラミックブラケットを使用するため、目立ちにくく違和感も少ないです。矯正治療は見た目の美しさだけではなく、虫歯・歯周病の予防や噛み合わせの改善、発声・発音の改善にもつながります。
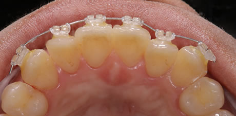
部分矯正(プチ矯正)ビフォーアフター
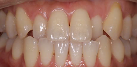
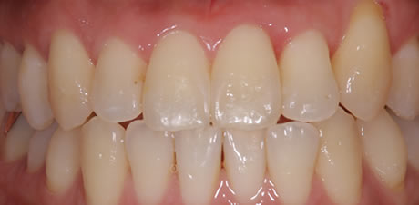
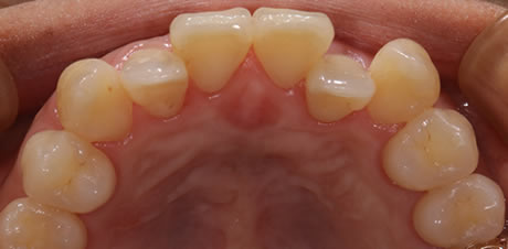
【症例】上前歯の矯正 ●35歳 女性 ●治療期間 9ヵ月
BEFORE正面
AFTER正面
BEFORE咬合面
AFTER咬合面
治療期間は6ヵ月の予定でしたが、ご本人の来院都合、歯牙の矯正移動量にも左右されまして、9ヵ月かかりました。それでも、プチ矯正ならではの治療期間の短さです。大変満足いただきました。これからはマウスピースを装着していただき、改善した歯並びを維持していただくことになります。マウスピースの装着状況次第では後戻りするケースもあります。
完璧な美と健康を得る全顎矯正
全顎矯正(全部矯正)は、上下顎のすべての歯並び、咬み合わせを治療します。完璧な咬合を獲得できるため、見た目も美しく、噛みやすく、汚れも溜まりにくく、一生涯にわたって虫歯・歯周病になりにくい健康な歯を手に入れることができます。なお、すべての歯にアプローチをして治していくため、ある程度の期間(2年~3年)がかかり、治療費も高くなってしまいます。
小児矯正について
小児矯正を行うことで、大人になって永久歯を抜歯するリスクを減らすことができます。治療方法は、永久歯がキレイに並ぶスペースを確保するために、顎の成長をコントロールすることを中心に行います。顎の自然な成長を利用して、顎のバランスを整えます。お子さまの顎の状態を見ながら、矯正治療の開始時期や治療方法をご提案いたします。
成人矯正について
「年齢的に遅すぎるのでは?」とご心配の方もいらっしゃいますが、ほとんどの場合年齢は関係ありません。治療中の矯正装置に抵抗があるかもしれませんが、当院では目立ちにくいセラミックブラケットを使用しています。また、前歯だけのプチ矯正であれば短期間で治療できますので、進学や就職、結婚式などタイミングに合わせて治療することができます。





